Categories Tin tức

Hướng dẫn mẹo điều trị mụn ở lưng đơn giản và hiệu quả nhất

Rate this post

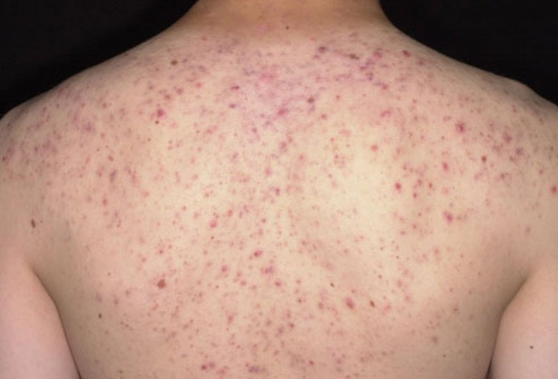
Mụn trứng cá ở lưng tuy có thể che đậy bằng quần áo thế nhưng lại gây cảm giác rất ngứa ngáy khó chịu, làm sao để điều trị… Cùng tìm hiểu cách trị mụn ở lưng trong bài viết này nhé

Mụn thật đáng ghét, thế nhưng chúng có thể xuất hiện bất cứ đâu trên cơ thể, hiểu được cảm giác khó chịu đó bài viết này mình xin giới thiệu những mẹo điều trị mụn lưng hiệu quả, nếu bạn đang bị đám mụn đó làm cho khó chịu thì hãy tham khảo bài viết dưới đây nhé.

Những nguyên nhân gây mụn lưng

Mụn ở lưng không những gây cảm giác khó chịu mà còn khiến chúng ta không thể diện những trang phục hở lưng gợi cảm, để biết được biện pháp điều trị mụn lưng hiệu quả, hãy cùng mình điểm qua một chút nguyên nhân gây mụn ở lưng

  • Do trang phục mặc quá bí bách
  • Mụn lưng xuất hiện do bạn lựa chọn mỹ phẩm, sữa tắm không phù hợp gây bít tắc lỗ chân lông.
  • Mụn lưng do bẩm sinh, nhưng bạn lại không để ý ăn uống những sản phẩm mát và tốt cho da.
  • Vệ sinh vùng lưng chưa sạch.

Những phương pháp trị mụn lưng hiệu quả

Cách tốt nhất để “goodbye” đám mụn khó coi kia chính là giải quyết lần lượt những nguyên nhân tạo nên chúng:

Trị mụn lưng bằng quả chanh

Ở thành phần quả chanh có chứa thành phần axit tự nhiên rất tốt cho da, nếu các bạn để ý sẽ thấy hầu như những phương pháp làm đẹp tự nhiên đều có sự xuất hiện của quả chanh.

thành phần axit có trong chanh sẽ giúp bạn sẽ giúp kháng khuẩn cực mạnh, vậy nên có thể giúp điều trị và ngăn chặn mụn lưng hiệu quả.

Ngoài ra cùng với thành phần vitamin tự nhiên có trong mỗi quả chanh, sẽ giúp mờ thâm hiệu quả, nhanh chóng trả lại cho bạn tấm lưng trần mềm,mượt.

Đọc ngay: Cảnh báo nguy cơ tử vong nếu không biết cách chữa mụn đinh râu ở cằm

Trị mụn lưng với muối biển

Muối biển có công dụng tuyệt vời đối với làn da, những thành phần  trong muối biển không những giúp cân bằng độ ẩm mà cung cấp rất nhiều dưỡng chất cho da.Muối biển còn có tác dụng tẩy tế bào chết tự nhiên và từ đó những đốm mụn cứng đầu trên da cũng từ từ được loại sạch

Cách thực hiện đơn giản,  bạn chỉ cần lấy một ít muối tắm xoa nhẹ lên vùng da lưng và massage nhẹ nhàng, chú ý massage nhẹ nhàng để không gây tổn thương sâu sắc đến da.

Trị mụn lưng hiệu quả bằng cà chua

Cũng tương tự như chanh và muối, cà chua cũng là loại quả có tác dụng rất hữu ích trong việc trị mụn trên lưng, liền sẹo và loại bỏ thâm. Những thành phần cà chua khá nhạy cảm với vùng da mặt nhưng lại rất hữu ích trong việc điều trị mụn và cà chua chính là loại quả được rất nhiều cô gái chọn để trị mụn lưng.

Cách thực hiện đơn giản đó là cắt đôi một quả cà chua chín rồi chà lên vùng da lưng bị mụn rồi để trong 10-15 phút, sau đó rửa sạch.

Con gái ai cũng mong muốn làn da của mình trắng không tì vết thì những vết mụn dù là ở bất cứ đâu chị em cũng đừng để cho chúng tồn tại lâu. Hy vọng những chia sẻ trên đây sẽ cung cấp cho chị em những kiến thức trị mụn lưng đơn giản, hiệu quả. Để những phương thức kể trên phát huy tối đa tác dụng bạn nên kết hợp ăn uống và sinh hoạt điều độ, cùng với đó lựa chọn sản phẩm làm đẹp hợp với da mình nhé.

Đọc ngay: 

  • Giảm cân, đốt cháy mỡ bụng nhanh chóng với máy tập chạy bộ
  • Cách điều trị nhiệt miệng ở trẻ dưới 1 tuổi

Leave a Reply

Email của bạn sẽ không được hiển thị công khai. Các trường bắt buộc được đánh dấu *

You May Also Like